Din tandhygienist i Solna
Vill du hellre själv boka tid hos mig så söker du på mitt namn Parto Jalayer på Muntra.se - där hittar du alla lediga tider. Tänk på att välja rätt tid för rätt behandling, t.ex. för klinikblekning bokar du 120 minuter och för tandstensborttagning 60 minuter osv.
Denna behandling är bra för dig som har lättare missfärgningar samt mindre mängd plack och tandsten och något irriterad och blödande tandkött
Denna behandling är för dig som problem med kraftiga missfärgningar, hård plack och tandsten både på tänderna samt längre ner under tandköttet. Tandköttet blöder oftast och det händer att det smakar eller luktar illa i munnen. Tandsten som blir kvar under tandköttet leder till fördjupade tandköttsfickor och vidare till tandlösning.
Airflow är en skonsam tandrengöringsmetod där man tar bort lättare plack samt missfärgningar från tänderna. Behandlingen innebär att man blästrar tänderna med en blandning av salt, vatten och luft (vatten-och luftpolering).
Den här behandlingen riktar sig mot dig som besväras av ilande, isande tänder och tandhalsar. Ilningar kall eller varm men även söt eller sur föda och kan upplevas mycket obehagligt av de flesta. Du kan få känsliga tände och tandhalsar om du borstar för hårt, har fel tandborstningsteknik eller använder en alldeles för hård tandborste. Fluorlackning innebär att man penslar/lackar de känsliga tandytorna med ett fluorlack, vilket innehåller en hög koncentration av fluor. Lacket stelnar och lagras in i tandemaljen och på så sätt motverkar ilningar. Vid behov upprepas behandlingen ett par gånger per år.
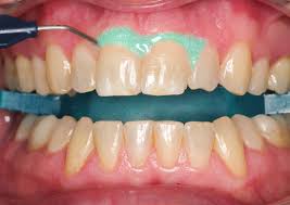
Klinikledningen är avsedd för dig som ej har hål i tänderna eller besväras av ilningar i övrigt. Tandblekningen rekommenderas ej om man har för många lagningar i olika material (plast, amalgam osv.). Vidare krävs en frisk tandkött(utan inflammation) för att du som patient ej ska uppleva obehag efter blekningen. Tandblekningen rekommenderas inte för gravida/ammande kvinnor samt rökare eller snusare. Klinikblekningen utförs i kliniken vid ett tillfälle och det tar sammanlagt 1-2 timmar. För att uppnå den bästa blekningsresultat ska tänderna vara rena, och fri från plack, tandsten eller missfärgningar. Innan blekningen kan påbörjas görs därför en grundlig tandstens- och borttagning samt putsning och polering av tänderna.
För att skydda tandköttet från tandblekningsgelen appliceras en flytande plastmassa längs med tandköttskanten för att hindra tandblekningsgelen att hamna på tandköttet. Tandblekningsgelen får sitta kvar i 20 minuter, innan det torkas bort och appliceras på nytt. Detta procedur upprepas efter behov.
Betyg ***** Ett besök hos Parto rekommenderas starkt! En tandhygienist med mer passion över sitt yrke har jag aldrig stött på. Jag kan lova att även den mest rädda personen kommer gå från henne med leende på läpparna 25 mars 2024∙ LM, bekräftad patient
Betyg ***** Noggrannhet, varsamhet, den bästa tandhygienist jag har haft och jag har haft många👍 13 februari 2023∙LL, bekräftad patient
Betyg ***** Parto är stans bästa tandhygienist...dessutom vänlig och serviceminded. 25 november 2022∙BA, bekräftad patient
Betyg ***** Väldigt bra bemötande, noggrann, fantastiskt resultat och i helhet en otroligt bra behandling. Rekommenderar Parto varmt till er! 16 september 2022∙SB, bekräftad patientringsknappen.
Betyg ***** Parto är så bra på sitt jobb, tar det seriöst, visar hänsyn och stor omtanke till både patient och tänder. 16 november 2022∙ML, bekräftad patient





